症例紹介
下のグラフは歩行中の膝の動き(屈伸運動)を示しています。
          縦軸は膝の曲がり(屈曲)、横軸は歩行で床に足がついてからもう一度同じ足が床につくまでを100%としています。
          黒の破線が正常な膝、赤の実線が重度変形性膝関節症、青の実線が人工膝関節置換術後です。
          正常な膝(グラフ 黒の破線)は歩行中グラフの山が大小きれいに二つ出るのが特徴で、これは床に足がついてからもう一度同じ足が床につくまでの間に膝が二回曲がっていることを示しています。これはダブル・ニー・アクションと呼ばれていますが、特に一つ目の山は足が床についた直後に膝を少し曲げることにより床から受ける衝撃を吸収するという重要な役割を担っています。
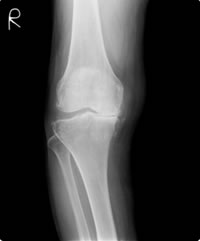
          重度変形性膝関節症(グラフ 赤の実線、および図4)は一つ目の山が消失しています。これは歩行中に関節の動きが重度に障害されており、膝がほとんど床からの衝撃を吸収できていないことを示します。
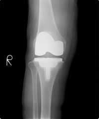
          これに対して、人工膝関節置換術後(グラフ 青の実線、および図5)は、正常と完全に同じとまではいきませんが、歩行中のグラフの山が大小二つ認められ関節の動きが回復していることがわかります。これはきれいに歩けているだけではなく、関節にかかる負担が軽減したことを示します。
 グラフ 歩行中の膝の動き(屈伸運動)
グラフ 歩行中の膝の動き(屈伸運動) 図4.重度変形性膝関節症
図4.重度変形性膝関節症 図5.人工膝関節置換術後
図5.人工膝関節置換術後三次元動作解析の限界
この検査は計測やデータ解析に多くの時間がかかり、また現在のところ発展途上の技術でもあります。
そのため全ての患者様に用いることは難しく、当院では医師の診察によって三次元動作解析の必要性が認められた症例にのみ主に実施しております。
近年、患者様より三次元動作解析についてのお問い合わせをいただくことがありますが、解析方法の確立していない動作の分析など対応できないこともあり、この点ご理解いただけますようお願い申し上げます。

 
		
